|

歯周病は歯肉炎と歯周炎、二つの疾患の総称です。いずれも細菌の塊であるデンタルプラーク(歯垢)が原因ですが、その治療で最も重要なことは「歯を磨いてもらうこと」です。私たちの医院ではブラッシングに始まり、質の高いプラークコントロールを継続してもらうことが歯周病を治し、再発させない一番大切なことと考えています。
■歯周治療の流れ
一口に歯周治療といっても、素人の患者さんにはその内容を理解することは難しいと思います。以下に当院における「歯周治療のステップ」を箇条書きにしました。詳細は実際の治療の際に説明していますが、おおまかには理解できるかと思います。
- 診査と歯周基本検査
- 歯周ポケットの深さの測定、出血の有無、動揺度の検査
- レントゲン撮影(歯を支える骨がどれだけ残っているかを診ます)
- 口腔内写真撮影(歯肉の色、形態を記録して説明します)
さらに必要な場合は
- スタディモデル(噛み合わせを診るために型取りをします)
- プラークコントロールとスケーリング
- 歯周病の原因はプラーク(歯に付着した細菌)です。プラークを患者さん自身がブラッシン グで確実に取り除くように歯ブラシ指導を行います。歯ブラシが上達することが歯周病を治す 早道です。
- 歯肉より上に付着した歯石(プラークが固まったもの)を除去します。
- 歯周精密検査
- 歯肉の炎症が改善したら、一本の歯について6ヶ所づつ歯周ポケットの深さや出血、動揺度などを測定します。これにより「より細かな治療計画」を立てます。
- ルートプレーニング
- 歯肉より下についている歯石を除去します。(残っている歯の数によりますが、おおむね6回にわけて行います)。ここまでが歯周基本治療といわれます。
- 再評価(2回目の精密検査)
- 再度1本の歯について6ヶ所づつ歯周ポケットの深さを測定します。
ここで歯周ポケットの数値が正常で、歯肉からの出血も無くなれば修復治療や定期的なメインテナンスに移行します。
- 歯周外科(麻酔下での歯肉縁下の歯石除去)
- 上記の5でさらに深いポケットや歯肉からの排膿がある場合は麻酔下での歯肉縁下の深い部 位にある歯石除去やクリーニングを行います。
- 再評価(3回目の精密検査)
- 上記の治療が効を奏したかを確認するために、再度1本の歯について6ヶ所づつ歯周ポケットの深さなどを測定します。
- 定期的なリコールによるメインテナンス
- 歯周病、とくに歯周炎は「慢性辺縁性歯周組織炎」という病名のとおり慢性の病気です。再発しないためには「患者さん自身による質の高いブラッシングの維持」と「歯科医や歯科衛生士による専門的なケアとクリーニング」が必須です。病状の安定度により、1ヶ月、3ヶ月、 6ヶ月間隔で定期的に来院していただき、検査やフォローをします。
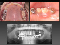
■治療例 歯周治療 1
中等度から一部重度の歯周治療(10年経過)です。ほぼ歯周基本治療のみの治療です。
■治療例 歯周治療 2
重度歯周炎(侵襲性歯周炎)の治療(16年経過)です。一部は歯周外科を行いました。
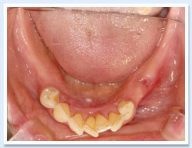
■治療例 歯周治療 3
歯周治療後に多くの歯が残せれば固定式のブリッジなどで治療を終えることができますが、少ない本数しか残せなかった場合は可徹性義歯(いわゆる入れ歯)が必要になってきます。その最たるものは部分入れ歯ですが、歯周病に罹患した歯でも定期的なメインテナンスを受けることで長期間入れ歯の支台として機能することが可能になります。(※義歯は上下ともに保険診療の義歯ではありません)
慢性辺縁性歯周炎の治療(11年経過)です。歯周基本治療のみの治療です
- 日本歯周病学会認定 歯周病専門医について
2008年に日本歯周病学会認定歯周病専門医を取得し,2019年に指導医を取得しました。取得に際しては症例報告や口頭試問などさまざまな条件をクリアしないと合格できません。また、これは永久的な資格ではなく5年ごとの更新が必要で、継続していくためには学会への参加はもちろん、発表や執筆などの単位を満たさないと更新できない仕組みになっています。現在10万人を超える日本の歯科医師で歯周病専門医は1000名ほどですが、熊本県下ではわずかに19名のみ、さらにその上の指導医については6名のみであり、天草市で資格を有しているのは当院のみです。歯周病専門医以外でも歯周治療に造詣が深い歯科医は沢山いらっしゃいます。しかしながら患者さんが歯科医の治療技術を推し量る上で専門医の資格は一定レベル以上の治療を受けるられる目安にはなるはずです。
お近くの歯周病専門医を検索するには日本歯周病学会のホームページをご覧ください。
- 日本歯周病学会認定歯科衛生士について
歯周治療で患者さんと多くの時間関わるのは歯科医師よりも歯科衛生士です。とりわけブラッシング指導や歯周基本治療の場面では歯科衛生士の力量に大きく左右されるといっても過言ではありませんが、この資格も専門医同様に症例報告や試験をクリアしないと得られません。
2019.9.10の時点で全国の認定歯科衛生士数は1119名、熊本県は68名です。松田歯科医院にこれまで在籍して認定歯科衛生士を取得した数は6名、おそらく県下でもトップクラスだと自負しています。
- 私たちが賛同できない歯周治療
健康雑誌やマスコミで「抗カビ剤による歯周治療」が話題になったことがあり、現在でも一部の歯科医は歯周内科と称して患者さんに治療を行っていますが、当院はその考えには否定的です。歯周病の原因はプラークであり、いわゆるカビの原因である真菌ではありません。また、現代の歯周治療はスウェーデンや米国の歯周病学派を中心に、50年以上もの研究や臨床の蓄積を根幹に成り立っています。世界中の歯周病学者から見向きもされない治療法を患者さんに行うことに対しても倫理的に疑問を抱かざるを得ません。また、会員数1万人を超える日本歯周病学会においても歯周内科なるものが、取り上げられたことはかつて一度もありませんし、むしろ異例の否定論文を出していることから評価に値する治療法ではないと考えています。(学会が否定論文を学会誌に掲載することはきわめて異例です)
一般の方には少し難しい文章ですが、否定論文は学会のホームページからも閲覧することができます。

■治療例 義歯(部分入れ歯)
「入れ歯が必要になった」というとなんだか「歳をとった」「噛めなくなった」というマイナスイメージがあります。また、入れ歯の金具が見えれば見た目の問題も気になるでしょう。
確かに保険診療での義歯には限界がありますが、少しの費用と時間を費やして、きっちりとした義歯を作製すればそのイメージは払拭されるはずです。
可徹式(取り外し式)はメンタルな面で嫌がられますが、手入れがしやすいというメリットもあるのです。見た目の問題もほとんど入れ歯とわからない程度の回復も十分可能です。また、インプラントのように外科手術を必要としないのも利点のひとつです。
「よい入れ歯」の条件とは?
- 動かない義歯であること
見た目がきれいでも噛む時に動く入れ歯はNGです。入れ歯の動きは支台となる自分の歯に余計な負担を強いるのと同時に顎堤粘膜の吸収にもつながります。スポンジの上に置いたまな板ではどんなに切れ味の良い包丁も役に立たないのと同じです。
- 違和感が少ないこと
元々自分の歯や歯ぐきがあった部分に入れ歯が収まれば違和感はありません。しかしながら、金具や左右の入れ歯をつなぐバーなど本来自分の口の中に何も無かったところに入れ歯が入ると大きな違和感を感じるようになります。いかに違和感を少なくできるかは歯科医師や歯科技工士さんの腕の見せ所になります。
- 清掃しやすいこと
入れ歯が必要になった原因はむし歯や歯周病で歯を失ったからです。入れ歯をいれることで残っている歯がむし歯になったり、歯周病が進行すれば本末転倒です。外して清掃することが最も大切ですが、できるだけ食塊が停滞しないような構造の入れ歯が良いに越したことはありません。
- 修理や改修が簡単にできること
5年、10年と長期間に渡り使い続けてもらうには追加治療や修理も必要となります。自分の歯を多少失っても簡単に修理できる構造の入れ歯が望ましいはずです。少なくとも自分の歯が1本抜ける度に新たな義歯に作り替える事態は避けたいものです。
■治療例 1 小さく違和感が少ない部分入れ歯
比較的小さな欠損です。手前の歯は天然歯を削りたくないのクラスプという金具を維持装置にし、奥歯はコーヌスクローネという二重冠を用いています。初めての義歯にも関わらず違和感なく受け入れてもらえました。(※コーヌスクローネは保険外の診療になります。)
  画像をクリックすると大きな画像を表示します。
※コーヌスクローネとは
■治療例 2 20年以上使い続けている部分入れ歯
1994年に作製した部分入れ歯です。残っている歯は歯周病が進行していましたが、20年を越えました。わずか2本のインプラントの助けを借りることになりましたが、現在も新たな義歯を作製することなく使用していただいています。
治療例 3 違和感を少なくして、金具(クラスプ)を用いない部分入れ歯
10本前後の歯を無くしているケースです。できるだけ金具をつかわずに見た目の問題も考慮し、かつ違和感を少なくするために金属床を用いています。(※上下前歯は保険内の治療ですが、義歯は保険外の診療になります。) 5年の経過です。
- 私たちが賛同しない入れ歯
ここ数年「ノンクラスプ義歯」という軟らかい樹脂を用いた義歯が登場してきました。おそらく「軟らかい樹脂を用いれば痛くならないだろう」「歯ぐきと同じ色の維持装置だったら目立たないはず」といった発想から用いられ始めたのだろうと思います。しかしながら前述したように良い義歯とは動かない義歯です。軟らかい材料でも噛んだ時に沈むと義歯の役割を果たせません。また、義歯の維持となる天然歯の周囲を息ができないくらい囲ってしまうと清掃性も悪くなります。修理や改造も従来のレジンを用いた義歯に比べると格段と困難ですし、ましてや保険外の診療となります。
以上の理由から「治療費をドブに捨てるようなもの」と考えているので当院では一切扱っておりません。
- 院長コラム(ブログ)にそのあたりも詳述しています。素人の患者さんには少し難解な専門用語もありますが、下記も御参照下されば幸いです。
ブログ1
ブログ2
ブログ3

■治療例 インプラント
当院では1990年(平成2年)からインプラントを用いた治療を行っています。2014.12月現在でおよそ230名の患者さんに400本のインプラントを行いました。25年間での患者数や本数にしては少ないと感じられる方も多いかもしれません。
その理由は、
・義歯やブリッジ、歯牙移植など他の治療法と比べて明らかにインプラントが有意である場合に行う。
・インプラントを用いるのであれば、まず最少の本数から考える。
・無理なインプラント治療は危険を伴うこともあるので行わない。
以上のことを心がけてきたからです。
また、自分が行ったインプラント治療がどの程度の成績なのかも患者さんに開示するように心がけています。当院と同じ勉強会に所属する熊本市内の開業医の先生6名で「インプラントの生存率」を調査したものです。6医院で行った1268本のインプラントを追跡調査したものですが、横軸に経過年数、縦軸に生存率を表したグラフです。たとえば9~10年 が経過したところで94%のインプラントが口腔内に残って機能しているということになります。
 画像をクリックすると大きな画像を表示します。
これは大学病院やメーカー等のデータではなく私たち臨床家の勉強会の実際のデータです。なお、「2001年日本口腔インプラント学会学術大会」および歯科雑誌「歯界展望 2002年5月号」にて誌上発表しています。なお、この論文は歯界展望2006年7月号における岡山大学の窪木教授らの「日本人を対象とした口腔インプラント治療の臨床成績に関するSystematic Review」という論文で4000を越える論文の中で上位5番目に入る信頼性のおけるデータとして取り上げられています。
- 日本口腔インプラント学会 専門医について
2016年に日本口腔インプラント学会の専修医を取得し、翌年さらにステップアップして専門医を取得しました。実は学会の会員歴は古く、大学を卒業した昭和60年に学会へ入会しているので、14.000人ほどの会員数の中でも会員番号は500番台です。もともとインプラントをメインに診療をしていたわけではありませんので資格取得には積極的ではありませんでした。ここ10年ほどはいろいろなところで講演や小論文を執筆する機会にめぐまれたので、責任ある立場からの発言が必要と考えて専門医取得を目指した次第です。
日本口腔インプラント学会の専門医は登録をすればもらえるものではなく、日本歯周病学会の歯周病専門医と同様にさまざまなハードルが設けられていますし、取得後も5年おきの更新が必要となります。更新のためにもさまざまな研修や発表が課せられています。(その詳細については日本口腔インプラント学会のホームページをご覧ください)
平成29年3月の時点で熊本県内で日本口腔インプラント学会専門医は23名であり、天草市では当院のみです。
しかしながら、私はインプラント専門医を取得しているからといって「最初からインプラントありき」の診療をするつもりは毛頭ありません。他の治療方法と比べて明らかにインプラント治療が優位であると考えた時にはその旨を患者さんに説明し、双方が納得の上でインプラントを行うようにしています。
「インプラント専門医だから一般の歯科医院より難しい治療を行う」のではなく、専門医だからこそ「いかに安全に、治療後も長期に渡り快適な結果が維持できるように熟考した最小限の治療介入」を目指したいと考えています。
以下に当院で行った実際の症例を呈示してみます。
■症例 1. インプラントを第一選択肢としたケース
右下の大臼歯を2本喪失されています。義歯も治療の選択肢のひとつですが、前方の支台となる小臼歯の歯根の長さが短く、義歯を支えるのには無理がありそうです。このような症例は第一選択肢としてインプラントを勧めています。
  画像をクリックすると大きな画像を表示します。
■症例 2. ブリッジよりもインプラントを選択したケース
逆性埋伏歯があったために上顎の前歯が1本欠損しています。両隣在歯を削ってブリッジにもできますが、20代という患者さんの将来を考えると健康な歯を削ることがためらわれます。そこでインプラントを用いて天然歯を削ることなく治療を終えました。
■症例 3.平成2年(1990年)年に行ったインプラントのケースです。 下顎は違和感で義歯を受入れることができずに左右両側に1本づつインプラントを植立し、天然歯とのブリッジを装着したケースです。周囲に骨の不透過像が観察されますが、25年経過した現在も十分に問題なく機能しています。
  画像をクリックすると大きな画像を表示します。
■症例 4.下顎総義歯の安定のためのインプラントです。 同じ総義歯でも上顎に比べ、下顎は安定を得ることが難しいのですが、2本のインプラントで安定は格段と向上します。どんなに高度に吸収した歯ぐきでも大きく開口しても浮き上がったり、外れることがありません。
■症例 5.部分入れ歯の安定をよくするために用いたインプラントです。 私が最も得意とするインプラントの使い方です。「取り外しの義歯自体は受入れられるが、義歯の安定が悪いので何とかしたい」という場合に、最小限のインプラントを用いて義歯の支台とする方法です。固定性には及びませんが、手術侵襲や費用もはるかに小さくすることができます。1997年からこれらの使い方に取り組み、現在15年以上の経過と実績があります。
- 当院で行っていないインプラント治療
(1)即時荷重インプラント:「手術したその日からかめます」ということがメリットでしょうが、当院では充分な免荷期間(骨とインプラントがしっかりとくっつく期間)を設けているので行っていません。
(2)All on 4 :1本のインプラントを喪失すると修復物全体のおおがかりなやり直しとなるので行っていません。
(3)大きな骨移植や骨造成をともなうインプラント治療:不足している骨量を自家骨や人工骨で増やしてインプラントを植立する方法ですが、手術侵襲が大きいことや造成した骨がどれだけ長期間に渡り維持できるのかが不確実なので行っていません。当院では既存の骨内に植立できない場合はインプラント治療は行いません。
- インプラント治療に必要な検査
X線写真、口腔内写真、歯周病検査、模型(歯型)はインプラントに限らず必要としますが、とりわけインプラント治療に際しては、
(1)CT撮影
(2)血液検査 この二つは必須とさせていただきます。
これは従来の検査に加えて「より安全に」インプラント埋入手術を行うために歯科医、患者さん双方に必要なことだと考えているからです。また、患者さん自身が自覚がない病気があればインプラント治療の成功率にも大きく影響しかねます。
最後に一番理解して頂きたいことです。インプラントを希望される患者さんにとってインプラント治療が最善かどうかが最も大切なことだと私たちは考えています。十人十色、患者さんの口腔内や健康度、価値観などさまざまです。歯科医師と患者さん双方が十分に理解を深め、納得の上でインプラント治療が行なわれることが大切なことだと思います。
|
 |